Viêm nướu quanh mão răng

1.902 views

 

1. Khái niệm:
* Lâm sàng:
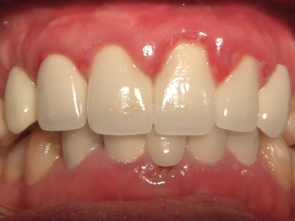
Viêm nướu răng là tình trạng viêm tấy, xung huyết quanh răng.
– Thường chảy máu khi chải răng
– Chiếp miệng thường có vị tanh
– Có mùi hôi nơi quanh mão răng
* Sinh học:
Vùng viêm có hiện tượng giãn mạch, có các bạch cầu đa nhân trung tính, bạch cầu Mono tập trung ứng động để tiêu diệt vi khuẩn xâm nhập và bảo vệ cơ thể.







* Khoảng sinh học khe nướu răng:
Khe nướu có độ sâu khoảng 0,7 – 1,1mm có dịch nướu bao quanh nhằm bảo vệ mô quang răng.







2. Nguyên nhân gây viêm nướu:
Có 03 nguyên nhân căn bản
– Do cơ địa mỗi người
– Do vật liệu làm răng
– Do Thầy thuốc gây ra


* Do cơ địa mỗi người:

– Răng mọc chen chúc
– Triển dưỡng nướu 
– Tình trạng mô quanh răng trước đó
– Tình trạng người mang phục hình răng giữ vệ sinh răng miệng 
kém.
– Mang thai
– Dùng thuốc thuộc nhóm an thần, thuốc cao huyết áp.


*  Do vật liệu
Các nghiên cứu về vật liệu trong phục hình răng chỉ ra rằng theo thứ tự đáp ứng với mô sinh học như sau:
Titan nguyên chất > Sứ Zirconia > Sứ nha khoa > Vàng, Bạch kim >Hợp kim Cr-Co > Composite…
* Do Thầy thuốc gây ra
– Làm thay đổi khoảng sinh học như:
+ Mão dư thừa làm lấn áp khoảng sinh học
+ Quá quan tâm đến thẩm mỹ 
+ Mão hở đường hoàn tất
+ Sửa soạn trụ răng chưa đúng qui cách
+ Chưa xử lý triệt để mô quang răng có nguy cơ gây viêm nướu.
3. Khắc phục:
* Khắc phục tạm thời:
–  Tâm lý thoải mái
– Dùng ngón tay trỏ rửa sạch mát xa vùng nướu quanh mão răng giúp máu lưu thông vùng nướu quanh răng.
– Súc miệng bằng nước muối, dầu dừa, dung dịch súc miệng.
– Viên ngừa viêm nướu IgY Gate/ ngậm trước khi ngủ.
* Khắc phục triệt để:
Tùy theo nguyên nhân gây viêm nướu thầy thuốc có cách xử trí riêng
1. Nướu triển dưỡng do thai kỳ: giữ vệ sinh răng miệng sạch, sau sinh nở viêm nướu sẽ hết.

Triển dưỡng nướu do thai kỳ


2. Do thuốc hướng an thần, thuốc cao huyết áp: thông báo với bác sĩ của bạn và xin ý kiến đổi nhóm thuốc khác.

Triển dưỡng nướu do thuốc
3.Hở mão răng dẫn đến hôi miệng: nên thay phục hình khác, nên sử dụng loại mão công nghệ CAD/CAM.
 
Hôi miệng do hở mão răng
4. Do vệ sinh răng miệng kém: nên chăm sóc răng miệng bởi chuyên viên y tế tại phòng nha khoa.
Vệ sinh răng miệng
5. Thói quen hút thuốc: thuốc lá có chứa Nicotin, hoạt chất này làm cho mao mạch bị co nên giảm máu nuôi đến vùng nướu răng điều này có thể trở nên viêm nướu trầm trọng hơn ở người tiểu đường.
Thuốc lá 
6. Viêm nướu do bờ mão phục hình: chỉ định nên thay phục hình mới và sửa soạn đúng kỹ thuật.

 

7. Liệu pháp tâm linh: thiền định làm cho sóng não chậm lại giúp cho hệ nội tiết của con người có nhiều thời gian tự điều chỉnh và phục hồi tổn thương.
Tâm lý liệu pháp