Nguyên nhân gây bệnh quanh răng

1.987 views
Bệnh quanh răng (còn gọi là bệnh nha chu) là một trong những bệnh răng miệng gặp phổ biến nhất ở Việt Nam và ở nhiều nước trên thế giới. Đó là tình trạng nhiễm trùng mạn tính ảnh hưởng đến lợi và các tổ chức quanh răng. Bệnh thường tiến triển thầm lặng, có thể ảnh hưởng đến một răng hoặc nhiều răng, có thể gây đau, hôi miệng, thậm chí dẫn đến mất răng, ảnh hưởng xấu đến việc tiêu hóa, phát âm và thẩm mỹ.
Nguyên nhân gây bệnh quanh răng
Nguyên nhân chính gây bệnh quanh răng là sự tích tụ các vi khuẩn trong mảng bám răng và cao răng, gây ảnh hưởng lên lợi và tổ chức chống đỡ quanh răng. Khi quá trình này tiếp tục mà không được điều trị kịp thời thì răng sẽ bị lung lay, hình thành túi quanh răng giữa lợi và răng, tạo điều kiện cho vi khuẩn tích tụ nhiều hơn. Ngoài ra, các yếu tố như chấn thương khớp cắn, răng mọc lệch… Hay các yếu tố toàn thân như suy dinh dưỡng, thiếu vitamin (đặc biệt là vitamin C); thay đổi nội tiết tố ở tuổi dậy thì, thai nghén và cho con bú, có các bệnh toàn thân như bệnh tiểu đường, bệnh máu, bệnh tim mạch; sức đề kháng yếu, hút thuốc lá… cũng góp phần làm cho tình trạng viêm tiến triển nặng thêm.
Các loại bệnh quanh răng thường gặp
Hai loại bệnh quanh răng gặp phổ biến nhất là viêm lợi và viêm quanh răng.
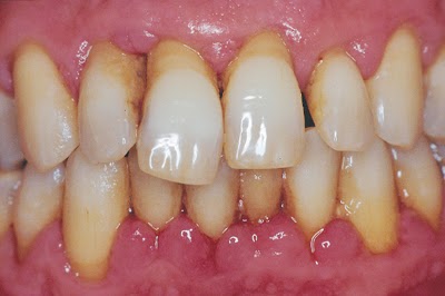
Khi mắc bệnh quanh răng, những dấu hiệu thường thấy là: lợi sưng phồng, đỏ, đau, chảy máu nhiều khi chải răng, hơi thở hôi, có thể có mủ chảy ra từ khe lợi, răng có thể bị thưa ra hoặc dài ra, thậm chí có thể thấy răng bị lung lay hoặc tự rụng ra.
Trong bệnh viêm lợi, tình trạng viêm chỉ xảy ra trên bề mặt lợi, không lan sâu xuống rãnh lợi và vùng quanh răng. Biểu hiện chủ yếu của viêm lợi là chảy máu khi chải răng, khi ăn thức ăn cứng hoặc khi xỉa răng, soi gương thấy lợi đỏ, sưng. Nếu không được chữa kịp thời, bệnh sẽ trở thành mạn tính và chuyển thành viêm quanh răng.
Trong bệnh viêm quanh răng, tổn thương lan sâu xuống các phần khác như các dây chằng quanh răng, xương ổ răng và xương răng. Hậu quả là răng lung lay hoặc có thể rụng. Triệu chứng viêm quanh răng cũng tương tự như viêm lợi, cộng thêm một số dấu hiệu khác như hôi miệng, ấn vuốt lợi từ dưới chân răng lên thấy có mủ, răng dài và thưa, lung lay, ảnh hưởng đến việc ăn nhai.
Cho đến nay, vẫn chưa có phương pháp đặc hiệu nào điều trị bệnh quanh răng. Để việc điều trị có hiệu quả, điều kiện quan trọng đầu tiên là phát hiện bệnh sớm.
Bệnh viêm lợi thường có thể điều trị khỏi và dự phòng được bằng việc chải răng, sử dụng chỉ tơ nha khoa và nước súc miệng một cách thích hợp để loại bỏ mảng bám răng, lấy cao răng bằng dụng cụ cầm tay hoặc bằng máy siêu âm, sử dụng kháng thể để ức chế và tiêu diệt các vi khuẩn đặc hiệu gây bệnh.
Việc điều trị bệnh viêm quanh răng là một quy trình phức hợp bao gồm điều trị tại chỗ và toàn thân, điều trị khởi đầu và duy trì, điều trị bảo tồn và phẫu thuật…có thể kết hợp với điều trị bằng kháng sinh toàn thân, kháng sinh tại chỗ, thuốc chống viêm, giảm đau và các biện pháp khác để phòng tái phát.
 
Bệnh quanh răng là một bệnh không lây lan, nhưng nó ngấm ngầm hủy hoại xương ổ răng và lợi, làm răng mất chức năng ăn nhai và có thể gây mất răng. Do đó, việc khám răng miệng định kỳ thường xuyên (sáu tháng một lần) tại các cơ sở chuyên sâu về răng hàm mặt để có được lời khuyên của thầy thuốc trong việc chăm sóc răng miệng là rất cần thiết.
TS. BS. Nguyễn Thị Hồng Minh
Phó khoa Nha Chu – Bệnh viện RHMTW Hà Nội

Comments

Comments are closed.