Chương trình chỉnh răng toàn diện Úc châu ( COPA – Comprhensive Orthodontic Program Australia) đã và đang áp dụng tại Australia. Đã được giảng dạy ở nhiều Quốc gia như Singapore, HongKong,… Một liên kế giáo dục giữa Đại học Sydney và Viên Răng Hàm Mặt Trung Ương giúp cho các bác sĩ Việt Nam có tầm nhìn toàn diện về chỉnh hình răng mặt cũng như tự tin hơn trong quyết định chỉnh răng trong thời kỳ tiến bộ khoa học hiện nay. Chứng nhận qua Chương trình chỉnh răng toàn diện Úc châu này được Sở Y Tế TpHCM chấp thuận làm cơ sở thủ tục xin cấp phép hành nghề chỉnh răng tại TpHCM.

– Quản lý Bệnh nhân ngay từ bộ răng sữa
– Thiết lập chẩn đoán và kế hoạch điều trị
– Chi tiết và chuẩn hóa từng giai đoạn điều trị
– Thiết lập hồ sơ hoàn chỉnh
– Kết quả sau cùng hoàn hảo.
Chương trình Chỉnh răng COPA được tập huấn và chuyển giao bởi Ths.Bs Steven M.Lee là chuyên viên cao cấp chỉnh răng thuộc Khoa Chỉnh răng Đại học Sydney – Úc châu.
1. Quản lý ngay từ bộ răng sữa
Bộ răng sữa có vai trò rất quan trọng đối với trẻ trong quá trình hình thành và hòan thiện khớp cắn sau này:
– Giúp trẻ ăn nhai
– Giúp hàm răng phát triển tối ưu
– Là bộ phận giữ khoảng để răng vĩnh viễn mọc sau này
– Hướng dẫn răng vĩnh viễn mọc đúng vị trí…
Những bằng chứng lâm sàng ghi nhận rằng những trẻ em bị mất răng sữa sớm thường để lại những hậu quả răng mọc chen chúc, hàm phát triển bất cân xứng.
2.Thiết lập chẩn đoán và kế hoạch điều trị
Để thiết lập một chẩn đoán trong chỉnh răng hàm mặt điều tiên quyết nha sĩ cần phải quan sát kỹ bệnh nhân từ tiền sử y khoa như các bệnh tật có liên quan hoặc chấn thương trong quá trình sinh nở có ảnh hưởng đến quá trình phát triển xương hàm và răng của trẻ.
* Một tiền sử Nha khoa cũng được xem xét như tật mút ngón tay, cắn móng tay, cắn môi… hoặc sự mất răng sớm là yếu tố quyết định phương pháp và trình tự điều trị.
* Khám chi tiết ngoài mặt và trong mặt là điều bắt buộc chỉnh răng COPA để phát hiện rõ nguyên nhân gây xáo trộn hay mất cân bằng khớp cắn.
* X quang chẩn đoán được phân tích tỉ mỉ thông qua phim sọ nghiêng nhằm để khẳng định sau cùng trước khi đưa ra quyết định có hay không nên nhổ răng, tất cả dữ liệu này là bằng chứng y học giúp nha sĩ tổng quát hay chuyên khoa tự tin hơn trong quyết định của mình cũng như là hồ sơ pháp lý đối với nhà quản lý y tế có trách nhiệm.
3. Chi tiết và chuẩn hóa từng giai đoạn điều trị
Chỉnh răng từ khởi sự đến hoàn thành trải qua rất nhiều giai đoạn và mỗi giai đoạn có nhiều chi tiết khác nhau từ đó chương trình chỉnh răng toàn diện COPA giúp nha sĩ chuẩn hóa từng giai đoạn một, món tránh những sai sót không cần thiết đối với nha sĩ đương đại.
4. Thiết lập hồ sơ hoàn chỉnh
Để tăng tính khách quan trong chẩn đoán và kế hoạch điều trị chỉnh răng COPA bộ hồ sơ chỉnh răng COPA bao gồm:
– Hồ sơ khám chi tiết trong và ngoài mặt theo biểu mẫu
– Hình ảnh chụp chi tiết với 03 tư thế trong và ngoài mặt
– Hình ảnh Xquang toàn diện, sọ nghiêng, sọ thẳng
– Mẫu hàm thạch cao toàn diện trước và sau khi hoàn tất.
5. kết quả sau cùng hoàn hảo:
Để tránh khả năng tái phát sau điều trị chương trình chỉnh răng COPA luôn đòi hỏi nha sĩ phải hoàn thành công việc chỉnh răng dựa trên phim và hình ảnh khách quan:
– Loại bỏ nguy cơ gây xáo trộn cung răng
– Các răng phải ở vị trí đúng trên cung hàm
– Một nụ cười đẹp và hài hòa với hàm răng là đích đến cuối cùng của cả công trình nghệ thuật khoa học của Thầy thuốc nha khoa.
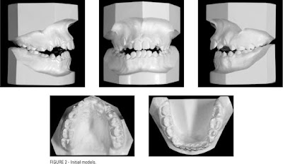
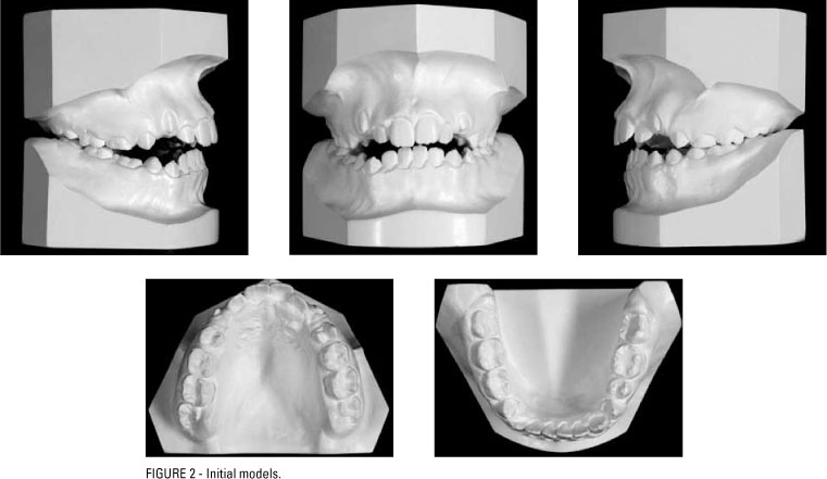
Một vài hình ảnh xuyên xuất quá trình chỉnh răng COPA
Giai đoạn Chẩn đoán:
1.Chụp ảnh ngoài mặt trước điều trị
Nghiên cứu mẫu hàm sơ khởi
Phim X quang toàn cảnh trước điều trị
X quang xương cổ tay đánh giá sự tăng trưởng xương
X Quang sọ nghiêng phân tích
Giai đoạn II điều trị chức năng:
Comments