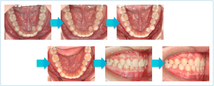
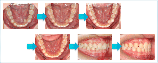
8 bước để có khay Niềng răng eCligner

1.436 views
 B1. Khám thảo luận
 B2. Ghi dấu
B3. Chuyển dữ liệu
 
 B4. Mô hình 3D
 B5.Kế hoạch điều trị
 B6. Khay chỉnh nha
 B7. hướng dẩn sử dụng
 B8. Hoàn tất
8 bước để có khay chỉnh nha eCligner                                    
* Bước 1
Đầu tiên bạn được kiểm tra sơ bộ lâm sàng tại phòng khám nha khoa, các vấn đề liên quan được nha sĩ thảo luận với bạn.
* Bước 2
Tại phòng nha khoa:
– Lấy dấu mẫu hàm phân tích dưới máy scan.
– Chụp ảnh trong miệng và ngoài miệng.
– Phim Xquang sọ nghiêng và toàn cảnh.
* Bước 3
Mọi dữ liệu của bạn được gửi về trụ sở chính để phân tích.
* Bước 4
Các chuyên gia sẽ lập trình, phân tích và mô phỏng quá trình điều trị hoàn thiện cho hàm răng của bạn.
Phương pháp eCligner này có thể tính chính xác từng mm di chuyển răng cũng như chính xác đến ngày tháng bạn điều trị.
* Bước 5
Kết quả phân tích và lập kế hoạch sẽ gửi lại cho bạn. Sự đồng ý của bạn, nhà máy tiến hành sản xuất toàn bộ khay chỉnh nha cho bạn.
* Bước 6
Sau khi sản xuất xong, chúng tôi đã có thể giao ngay khay chỉnh nha trong suốt cho bạn.
* Bước 7
Khay chỉnh nha đầu tiên bạn cần có sự hướng dẫn của nha sĩ, các khay sau bạn có thể tự mình làm được.
* Bước 8
Bước cuối cùng bạn đeo máng duy trì theo hướng dẫn của nha sĩ và hoàn tất.
“eCligner thẩm mỹ ngay từ buổi đầu tiên.”
 

Comments

Comments are closed.